





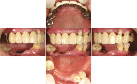
| 治療前 | 治療後 |
|---|---|
![]() |
![]() |
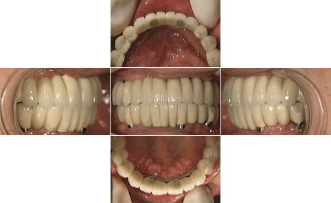
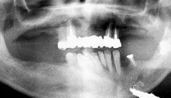
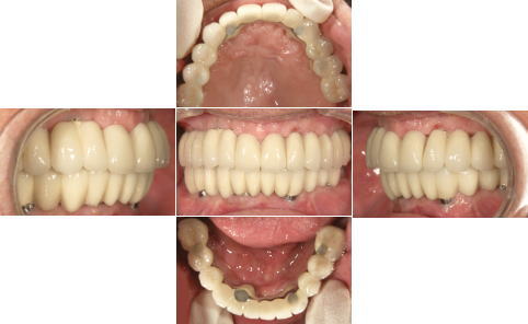
| 下顎の前歯部以外の全ての歯にグラツキがあったため、上顎はAll-on-4、下顎の奥歯は通常のインプラントブリッジとしました。 | |
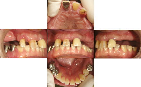
| 治療前 | 治療後 |
|---|---|
![]() |
![]() |
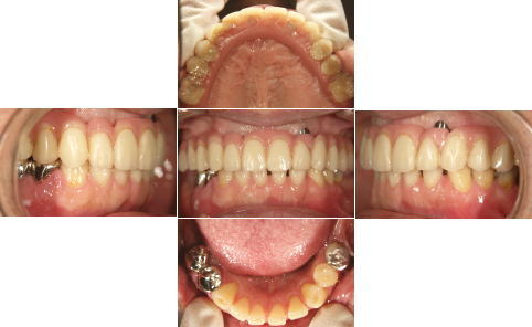
| 上顎、下顎共にグラツキの著しい歯は抜歯し、上顎はAll-on-4、下顎奥歯は通常のインプラントブリッジとしました。 | |
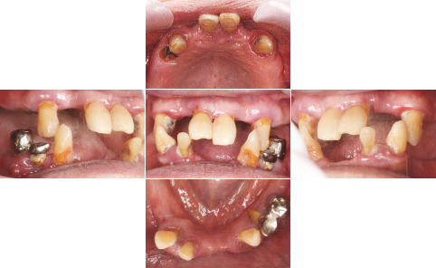
| 治療前 | 治療後 |
|---|---|
![]() |
![]() |
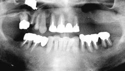
| 上顎はいつ抜けてもおかしくない状態であったため、直ちにAll-on-4を施術しました。 下顎も重度の歯周病で状態は良くありませんでしたが、患者様の希望もあり、抜歯せず、現在経過観察中です。 |
|
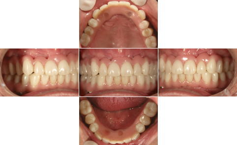
| 治療前 | 治療後 |
|---|---|
![]() |
![]() |
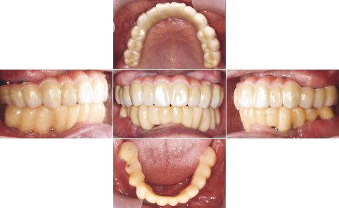
| 関西から通っている患者様です。 近々お嬢様の結婚式があるため、その前に上下共、All-on-4で治療して欲しいと来院されました。 右下親知らずは埋伏歯なので残してあります。 |
|
〒467-0064
名古屋市瑞穂区弥富通3-45-5 MAP→
TEL.052-837-5255
最寄り駅. 地下鉄名城線 瑞穂運動場東
休診日. 木曜・日曜・祝祭日
診療時間.
[平日]9:00〜12:00/13:30〜18:00
[土曜]9:00〜12:00/13:30〜17:00
24時間無料メール相談 →